
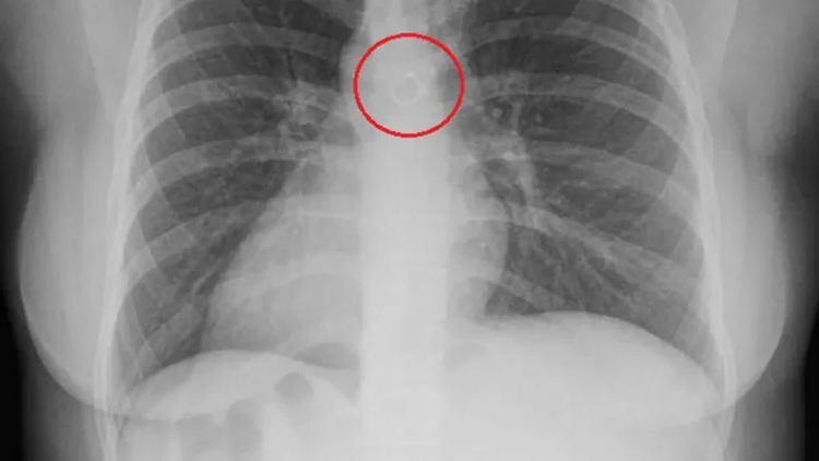
Ситуация оказалась крайне опасной: врачи сообщили, что металлический предмет находился всего в долях миллиметра от аорты. Любое смещение могло привести к тяжёлым последствиям.
Первая попытка извлечь украшение оказалась неудачной — операция затянулась почти на полтора часа, но результат не был достигнут. В итоге потребовалось повторное, более сложное вмешательство.
К счастью, вторая операция прошла успешно, и медики смогли удалить инородный предмет. По их словам, девушке невероятно повезло — исход мог быть куда более трагичным.
После пережитого она призналась, что, несмотря на любовь к пирсингу, больше не готова рисковать своим здоровьем.
Этот случай — напоминание о том, что даже привычные вещи могут нести скрытые риски. Украшения, особенно те, которые носятся постоянно, требуют внимательности и ухода. А любые необычные симптомы, которые не проходят со временем, — сигнал не откладывать визит к врачу, ведь иногда за ними могут скрываться совсем неожиданные причины.
@whoisbarajasx Se pone el septum (((Sale mal))) Pd. Ahorita ya estoy bien, fue hace meses, gad me lograron sacar el septum sin complicaciones, los doctores estaban impactados, así como yo y todos a mi alrededor, mis traumas mis chistes. #fyp #urgencias #medicine #viral #septumpiercing ♬ original sound – Deo M. Divinagracia – RetroSibs 🇵🇭🇵🇭🇵🇭