У 30-летнего брейк-дансера, который занимался вращением головы около 19 лет, на макушке головы образовалась болезненная выпуклость.
Согласно медицинскому исследованию, недавно опубликованному в журнале BMJ Case Reports, вращение головы в рамках обучения брейк-дансу может привести к образованию безволосых шишек на головах занимающихся. Также известные как «отверстия от вращения головы» среди брейк-дансеров, эти неэстетичные выпуклости иногда связаны с круговой потерей волос и могут быть болезненными. В недавно задокументированном случае пациент, мужчина в возрасте 30 лет, который включал вращение головы в рамках своего обучения брейк-дансу в течение последних 19 лет, сообщил о вращении на голове в течение примерно двух-семи минут, примерно пять раз в неделю. Он заметил шишку некоторое время назад, но сказал врачам, что она стала больше и болезненнее на ощупь за последние пять лет.
«Наличие новообразования и связанный с ним дискомфорт эстетически не нравились пациенту, однако выступ не мешал ему продолжать заниматься головокружительными делами», — отметили врачи мужчины.
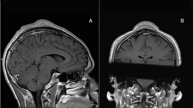
После осмотра болезненной выпуклости и проведения структурного сканирования черепа пациента врачи определили, что между кожей и черепом находится мягкая масса, но также и то, что кожа над массой и кость под ней были значительно толще окружающих их тканей. Они решили хирургическим путем удалить массу, а также сбрить скальп мужчины до уровня окружающих тканей.

Фото: BMJ Case ReportsИзвестное как «синдром чрезмерного использования брейкдансера», это странное состояние, связанное с брейкдансом, было лишь изредка научно документировано, но, по-видимому, хорошо известно среди брейкдансеров, хотя его распространенность среди занимающихся до сих пор неизвестна. Немецкое исследование показало, что из 100 опрошенных брейкдансеров у 31% наблюдалась потеря волос, а у 24% появились безболезненные шишки на голове, а у 37 из них было воспаление кожи головы.
Ограниченные исследования так называемого «хедспиннинга» показывают, что выполнение хедспиннинга чаще трех раз в неделю, даже в течение нескольких минут, сопряжено с высоким риском потери волос по сравнению с выполнением этого движения не так часто.
