20-летняя женщина из Тайваня недавно перенесла операцию по удалению не менее 300 мелких камней из правой почки.
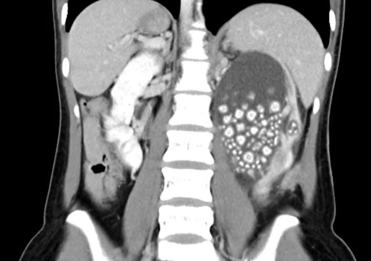
Молодая женщина, которую тайваньские СМИ опознали как Сяо Юй, в начале этого месяца была госпитализирована в больницу города Тайнань после того, как пожаловалась на сильную боль в пояснице. У нее также была лихорадка, а анализ крови показал необычно высокое количество лейкоцитов. Врачи назначили компьютерную томографию, которая показала, что правая почка Юя полна жидкости и практически полна камней. Первым делом было назначить молодой женщине антибиотики, затем слить жидкость из ее почки и, наконец, провести минимально инвазивную операцию по удалению сотен камней.

Фото: Chi Mei Hospital
В итоге врачи извлекли более 300 камней размером от 5 мм до 2 см. По данным Taiwan News, большинство камней по внешнему виду напоминали «маленькие приготовленные на пару булочки».
Хотя существует множество факторов, которые могут привести к образованию камней в почках, в данном конкретном случае пациентка не любила пить воду вообще. Это вызвало хроническое обезвоживание — состояние, при котором моча становится более концентрированной, а содержащиеся в ней минералы кристаллизуются, образуя камни.

Фото: Chi Mei Hospital
Урологи больницы Чи Мэй в Тайнане призвали население пить много воды, чтобы организм мог перерабатывать поступающие с ней сахара, соли и кальция, используя случай Сяо Юй как предостерегающий рассказ о том, что может произойти в крайние случаи обезвоживания.
