В ходе первого в своем роде медицинского случая мужчина в возрасте 30 лет получил дыру в горле после того, как зажал нос и сомкнул губы, чтобы подавить чихание.
Неназванный мужчина был доставлен в больницу Найнуэллс в Данди, Шотландия, с сильной болью после того, как пытался подавить чихание, зажав нос и закрыв рот во время вождения. Судя по всему, когда вы делаете что-то подобное, давление в верхних дыхательных путях может увеличиться примерно в 20 раз, что может привести к серьезным травмам, включая разрывы барабанных перепонок, аневризмы и даже переломы ребер.
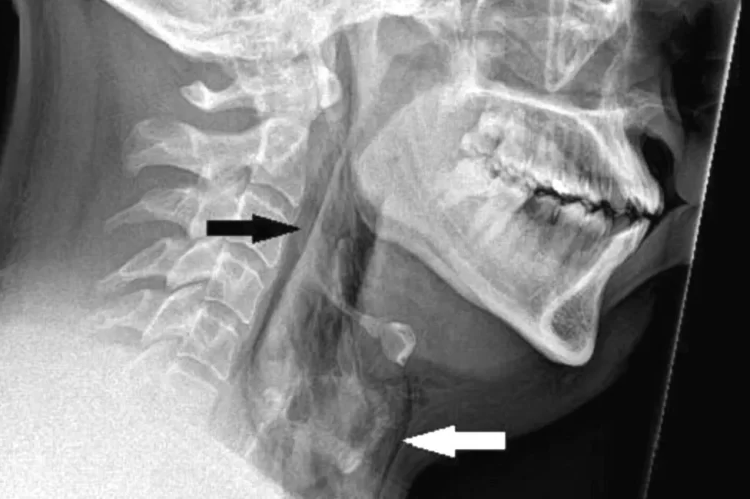
Однако в данном конкретном случае у неназванного пациента образовался разрыв трахеи диаметром 2 мм, что вызвало мучительную боль. Разрыв горла, известный в медицине как «спонтанная перфорация трахеи», представляет собой редкую и потенциально опасную для жизни травму, которая раньше не была связана с удушающим чиханием.

Когда мужчина прибыл в отделение неотложной помощи, он испытывал сильную боль, шея опухла с обеих сторон и он едва мог пошевелить головой. Он рассказал врачам, что за рулем у него случился приступ сенной лихорадки, и когда у него появилось побуждение чихнуть, он просто сдержал его, ущипнув нос и закрыл рот. В итоге у него было порвано горло.
Осматривая пациентку, врачи услышали слабый потрескивающий звук из ее горла, указывающий на то, что что-то не так. К счастью, это состояние не мешало дышать, глотать или говорить. После диагностики пациентку выписали, назначили обезболивающие и лекарства от сенной лихорадки с рекомендацией воздерживаться от физической активности в течение двух недель. Пять недель спустя он вернулся на осмотр, и осмотр показал, что все зажило.
«Мы должны аккуратно прикрывать лицо рукой или внутренней стороной локтя, чтобы предотвратить попадание раздражителей, таких как вирусы, а также слюны и слизи на окружающих», – сказал д-р Рашад Мисиров. «Лично я использовал другую технику, нажимая большим пальцем на верхнюю губу, прямо под носом, не перекрывая носовые ходы на несколько секунд — это мне помогает».
