Мы считаем, что в наши дни круто выделяться из толпы, поэтому хорошо постарались и собрали фотографии людей и животных с удивительными и редкими генетическими аномалиями.
Люди и животные, рожденные с генетическими аномалиями, ежедневно сталкиваются с различными проблемами: на людей искоса смотрят, а животным бояться подарить дом и окружить заботой.
Так выглядит врожденный меланоцитарный невус, который представляет собой большие коричневые участки кожи, возникающие при рождении

«Где мои любители белых ресниц? Просто хотел напомнить всем, у кого есть витилиго, что мы прекрасны»

«Моя подруга может сложить динозавра из пальцев»

«Полупрозрачные уши моего котенка-альбиноса»

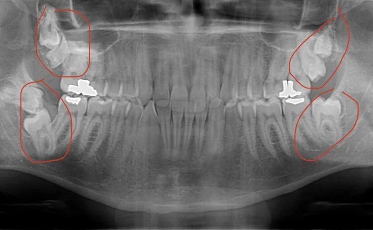
«У меня 7 зубов мудрости»

Так выглядят руки с витилиго

«У моей девушки на глазу есть родимое пятно»

«Мои руки после 20-минутного мытья посуды»

«У моей собаки безумно длинные ресницы»

Парень с витилиго, заболеванием, которое разделило его лицо на две части

Эта кошка по кличке Оливка и она выглядит довольно необычно

«У одного скрипача из моей школы очень длинные пальцы»

«У меня болезнь Рейно. И это происходит каждый раз, когда мне холодно»

«Моя младшая сестра родилась с шестью пальцами»

«Заснул на стуле и был сфотографирован. Судя по всему, у меня удивительно ровные плечи»

«Я родился с лишней кожей на ухе, поэтому решил, что мне просто необходимо это сделать»

