Сегодня мы решили познакомить вас с самыми неожиданными предметами находками, которые были найдены в человеческом теле.
1. Ложка.

2. Пуля.

3. Обручальное кольцо.

4. Монеты.

5. Магниты.

6. Галька.

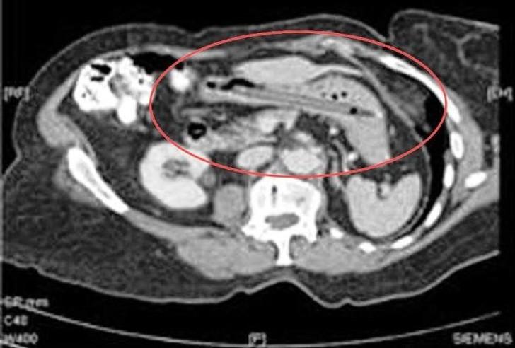
7. Ключ.

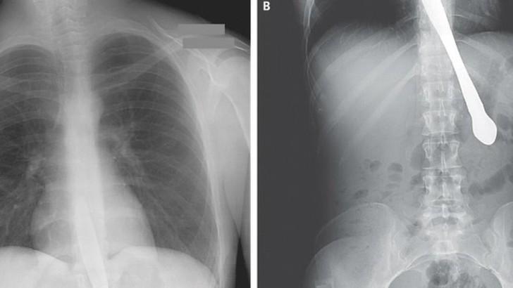
8. Ручка.

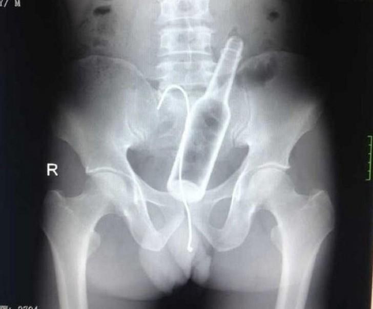
9. Бутылка.

10. Гвоздь.

11. Живые лягушки.

12. Столовые приборы.

13. А вот и батарейки!

14. Граната.

15. Лампочка.

16. Вилка.

17. Огромный комок шерсти.

18. Зародыш близнеца.

19. Пружины от кровати.

20. Мобильник.

21. Пропеллер от самолета.

22. Хирургические щипцы.

23. Метамфетамины.

24. Ножницы.

25. Живой угорь.

Источник: bigpikcha.ru
