Люди, которые смогли выжить в сложных ситуациях

Человеческое тело гораздо более сильно и крепко, чем кажется нам. Невероятные перегрузки, страшные аварии, падения с огромной высоты все еще оставляют человеку шанс выжить — и немалый.

Каким бы жестким ни был окружающий мир, мы готовы к нему по полной. Ощущение собственной хрупкости — всего лишь встроенный в тело фаерволл, против уж слишком рискованных предприятий. Не верите? Сегодня мы расскажем вам несколько историй о людях, которые смогли выжить в самых странных и сложных ситуациях.

В это невозможно поверить!

Человек с половиной головы

1

В 2010 году, сеть обошла фотография мужчины, лишенного половины головы. Поднялась целая волна обсуждения реальности снимка — что совершенно понятно, ведь он и в самом деле выглядит совершенно инфернально. Фотография оказалась настоящей. Парня на ней зовут Карлос Родригес, известный среди друзей как «Половинка». Родригес попал в страшную аварию, вылетев сквозь лобовое стекло автомобиля. И, тем не менее, современная нейрохирургия и нейропластика смогли спасти человека.

Внутреннее обезглавливание

2

Шеннон Маллой поступила в больницу после страшного автомобильного инцидента. Дверь машины практически захлопнулась на ее шее. В отделении врачи обнаружили, что дверь разорвала буквально каждую связку и сухожилие, связывающие головной мозг со спинным. Все остальные органы остались нетронутыми. В результате огромного количества операций девушку не только удалось спасти, но даже избежать паралича. Маллой отделалась нарушением речи и потеряла способность видеть левым глазом.

Железные легкие

3

Почти 60 лет Диана Оделл провела, будучи подключенная к аппарату искусственного дыхания. Деформация позвоночника, случившаяся с ней из-за полиомиелита в возрасте трех лет, не позволяла Диане обходиться портативными гаджетами. Тем не менее Оделл сумела прожить насыщенную и полноценную жизнь. Женщина закончила университет и даже написала книгу, но в 2008 году питание машины все же дало сбой.

Серьезная травма головного мозга

4

Финнеас Гейдж — один из первых людей, на котором хирурги рискнули провести полноценную нейрохирургическую операцию. В 1840 году, подрывник Гейдж работал на вермонтской шахте и не рассчитал время горения шнура. Снаряд взорвался в 20-ти метрах от Финнеаса, зацепив взрывной волной стальной прут. Он назквозь пробил голову несчастного. Хирурги сумели вытащить из мозга Финнеаса целых тридцать деформированных осколков. Спустя полгода, Гейдж вернулся к нормальной жизни, хотя и страдал от частых головных болей.

Ускоритель частиц

5

В 1978 году, советский ученый Анатолий Петрович Бугорский случайно попал под работающий ускоритель частиц — крупнейший в СССР. Потом Бугорский описывал эти ощущения как вспышку, ярче тысячи солнц, вдруг зажегшуюся у него в голове. Никакой боли ученый не почувствовал. И это несмотря на то, что луч заряженных протонов промчался сквозь его мозг со скоростью света. Левую сторону лица Бугорского парализовало, но этим все и ограничилось.

Выжившая час под водой

6

Холодной зимой 1986 года, двухлетняя Мишелль Фанк мирно играла на замершем ручье у дома. Лед треснул. Девочка ушла под воду быстрее, чем успела бы сказать «мама» — умей она говорить. Спустя полтора часа ребенка достали. Без признаков жизни. Доктор сделал ей прямой массаж сердца, который разогрел кровь и заставил орган работать. Мишелль очнулась, не пострадал даже ее мозг — ледяная вода сработала как некий антифриз.

Разрезанный напополам

7

В 2006 году, железнодорожный рабочий Труман Данкан слишком долго думал, правильно ли он рассчитал свой бюджет на сегодня, и не треснет ли уместиться в него еще маленькая бутылочка пива после работы. Поезд, машинист которого также слишком задумался, пронесся по рельсам, где и сидел мечтатель-Труман. Позднее докторам пришлось заново пришивать Данкану почти половину тела. Мужчина потерял руку и ногу с правой стороны, но туловище, после 23 операций, удалось спасти, пишет dnpmag.com.

Возвращение чувствительности в ампутированную конечность

8

Датчанин Деннис Аабо Соренсен потерял руку еще в 2003 году. В 2014 врачам удалось создать систему электродов, подключенных к нервным окончаниям плеча Соренсена. В результате, парень стал не только управлять протезом как частью своего тела, но и чувствовать предметы в пальцах.

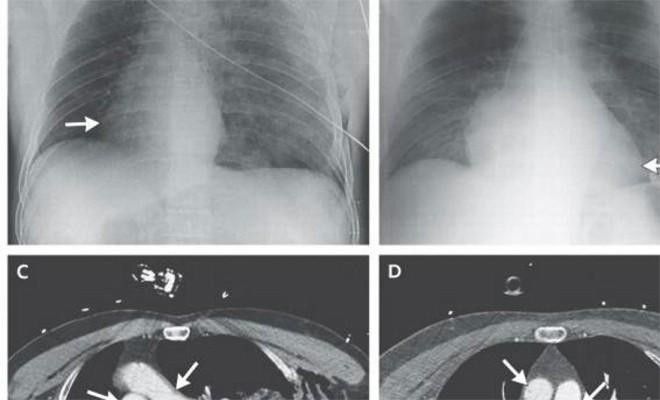
Повернувшееся сердце

9

В 2014 году, попавший в аварию итальянский мотоциклист поступил в больницу с необычными симптомами. Его сердце стало биться с перебоями и медленнее, чем обычно. Обследовав мужчину, врачи с удивлением обнаружили — сердце парня повернулось на 90 градусов в правую сторону. Это состояние называется декстрокардией, врожденным дефектом, прецедент с аварией был первым. К счастью, докторам удалось обратить изменения.

Поделитесь этим постом с друзьями!